Syndrome de Pancoast
Révisé par le Dr Hayley Willacy, FRCGP Dernière mise à jour par le Dr Colin Tidy, MRCGPDernière mise à jour 21 avril 2023
Répond aux besoins du patient lignes directrices éditoriales
- TéléchargerTélécharger
- Partager
- Langue
- Discussion
Professionnels de la santé
Les articles de référence professionnelle sont destinés aux professionnels de la santé. Ils sont rédigés par des médecins britanniques et s'appuient sur les résultats de la recherche ainsi que sur les lignes directrices britanniques et européennes. Vous trouverez peut-être l'un de nos articles sur la santé plus utile.
Dans cet article :
Synonymes : Syndrome de Tobias, syndrome de Ciuffini-Pancoast-Tobias
Poursuivre la lecture ci-dessous
Qu'est-ce que le syndrome de Pancoast ?1
Le syndrome de Pancoast est généralement causé par un néoplasme malin du sillon supérieur du poumon qui produit des lésions destructrices de l'entrée thoracique ainsi qu'une atteinte du plexus brachial et du ganglion stellaire. Ces cancers sont rares et représentent moins de 5 % de l'ensemble des cancers du poumon. Le néoplasme est généralement d'origine bronchogénique (environ la moitié sont des carcinomes épidermoïdes, l'autre moitié des adénocarcinomes).2
Symptômes du syndrome de Pancoast (présentation)2
Ce syndrome résulte de l'invasion d'un certain nombre de structures et de tissus autour de l'entrée du thorax et peut se caractériser par
Envahissement ipsilatéral du plexus sympathique cervical, entraînant un syndrome de Horner (myosis, énophtalmie, ptosis) chez 14 à 50 % des patients.3
Dystrophie sympathique réflexe ipsilatérale dans le bras, avec une sensibilité accrue au toucher et des modifications cutanées.
Douleur à l'épaule et au bras (provenant de l'atteinte du plexus brachial C8-T1) avec atrophie des muscles intrinsèques de la main et paresthésies dans la partie médiane du bras.
Plus rarement, paralysie unilatérale du nerf laryngé récurrent produisant une paralysie unilatérale des cordes vocales (voix rauque ± toux bovine), et/ou atteinte du nerf phrénique.
Œdème du bras secondaire à la compression des vaisseaux sanguins.
Obstruction de la veine cave supérieure, avec gonflement du visage, difficultés respiratoires et rougeur.
Les principales caractéristiques de la douleur à l'épaule et au bras, en l'absence de symptômes respiratoires, peuvent entraîner un retard de diagnostic alors que le patient fait l'objet d'examens inappropriés à la recherche d'une arthrite cervicale, d'une bursite de l'épaule et de lésions de la coiffe des rotateurs.4
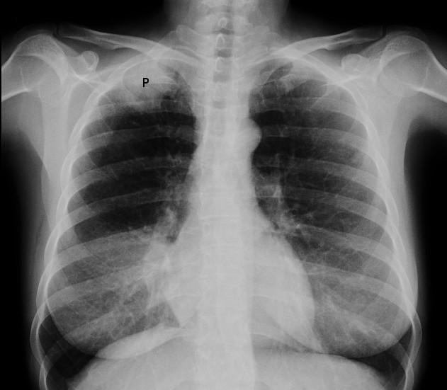
Radiographie de la tumeur de Pancoast

© Jmarchn (Own work), CC BY-SA 3.0, via Wikimedia Commons
Par Jmarchn, CC BY-SA 3.0via Wikimedia Commons
Poursuivre la lecture ci-dessous
Autres causes
Des tumeurs malignes autres que le cancer du poumon peuvent provoquer le syndrome de Pancoast. Des cancers primaires ont été signalés, tels que le cancer du sein, le mésothéliome, le plasmocytome ou le lymphome ;5 ou un carcinome métastatique du larynx, du col de l'utérus, de la vessie, de la thyroïde ou du côlon.6
Les causes non néoplasiques du syndrome de Pancoast sont rares. Toutefois, des cas ont été rapportés de pneumonie bactérienne (staphylocoque ou pseudomonas), de tuberculose et de maladie hydatique,7 8 un anévrisme mycotique, une nocardiose disséminée (une infection bactérienne à Gram positif rare), des granulomes plasmocytaires, une côte cervicale et une amylose pulmonaire.
Mise en scène
Il en va de même pour les autres carcinomes bronchogéniques, c'est-à-dire la classification TNM (tumeur, ganglion et métastase). La plupart des tumeurs de Pancoast sont de type T3 à la présentation, en raison de l'invasion de la plèvre et du plexus brachial.3
Poursuivre la lecture ci-dessous
Enquêtes1
Ce type de cancer est similaire à d'autres cancers du poumon, l'accent étant mis sur l'imagerie, y compris la CXR et la tomodensitométrie des poumons et de l'abdomen, et éventuellement la tomographie par émission de positrons (TEP). L'IRM est l'imagerie de choix pour évaluer les structures à l'entrée du thorax avant l'intervention chirurgicale.3 9 Un scanner ou une IRM du cerveau sont généralement réalisés, car il s'agit du site le plus commun de métastases. Les méthodes percutanées permettent généralement d'obtenir de bons résultats de biopsie.10
Traitement et prise en charge du syndrome de Pancoast1 11
Le National Institute for Health and Care Excellence (NICE) recommande que les tumeurs de Pancoast soient traitées de la même manière que les autres types de cancer du poumon non à petites cellules (CPNPC), avec une thérapie multimodale en fonction de la résécabilité, du stade de la tumeur et de l'état de performance de la personne.12
Toutefois, la prise en charge peut différer de celle des autres types de cancer du poumon non à petites cellules (CPNPC). Sa position et sa proximité avec les structures vitales peuvent rendre la chirurgie difficile. Par conséquent, en fonction du stade du cancer, le traitement peut comprendre une radiothérapie et une chimiothérapie administrées avant l'intervention chirurgicale.
La chirurgie peut consister en l'ablation du lobe supérieur d'un poumon et de ses structures associées, ainsi qu'en une lymphadénectomie médiastinale.
Il existe un certain nombre d'approches chirurgicales, chacune ayant ses avantages et ses inconvénients.13 Les trois procédures les plus courantes sont l'approche postéro-latérale haute, l'approche thoracique transcervicale antérieure et l'approche trans-sternale antérieure.
La résection peut consister en une résection en coin ou en une lobectomie.3 10 14 Historiquement, le plexus brachial impliqué a également été réséqué, entraînant une paralysie et une douleur neuropathique ; cependant, il a été largement démontré que cela n'était pas nécessaire.15
Pronostic
Jusqu'aux années 1990, le traitement bimodal (radiothérapie préopératoire suivie d'une intervention chirurgicale) ne permettait d'obtenir qu'un taux de survie à cinq ans de 30 % et un taux de récidive de 70 %.13 Cependant, l'avènement de la thérapie trimodale (chimioradiothérapie d'induction suivie d'une résection) a permis de réduire les taux de récidive à 30 % ; la survie à cinq ans reste modeste, entre 40 % et 70 %.3 13
Autres lectures et références
- Villgran VD, Chakraborty RK, Cherian SVLe syndrome de Pancoast. StatPearls, janvier 2023.
- Gundepalli SG, Tadi PTumeur de Pancoast du poumon. StatPearls, janvier 2023.
- Palumbo VD, Fazzotta S, Fatica F, et al.La tumeur de Pancoast : les options thérapeutiques actuelles. Clin Ter. 2019 Jul-Aug;170(4):e291-e294. doi : 10.7417/CT.2019.2150.
- Panagopoulos N, Leivaditis V, Koletsis E, et al.tumeurs de Pancoast : caractéristiques et évaluation préopératoire. J Thorac Dis. 2014 Mar;6 Suppl 1:S108-15. doi : 10.3978/j.issn.2072-1439.2013.12.29.
- Foroulis CN, Zarogoulidis P, Darwiche K, et al.Tumeurs du sillon supérieur (Pancoast) : données actuelles sur le diagnostic et le traitement radical. J Thorac Dis. 2013 Sep;5(Suppl 4):S342-S358.
- Singh D, Wijeyekoon BCase report of Pancoast tumour mimicking temporal arteritis ; BMJ Case Reports 2012 ; doi:10.1136/bcr-2012-006285.
- Sarkar A, Das A, Basuthakur S, et alLe syndrome de Pancoast : Une présentation rare du lymphome non hodgkinien. Lung India. 2013 Jul;30(3):209-11. doi : 10.4103/0970-2113.116266.
- Lu CC, Lin HF, Lee HS, et alCancer du côlon métastatique se présentant comme une maladie de Pancoast. Am J Surg. 2009 May;197(5):e51-2. Epub 2009 Feb 13.
- Ozpolat B, Ozeren M, Soyal T, et alUnusually located intrathoracic extrapulmonary mediastinal hydatid cyst manifesting as Pancoast syndrome. J Thorac Cardiovasc Surg. 2005 Mar;129(3):688-9.
- Dao I, El Mostarchid B, Onen J, et alSyndrome de Pancaost lié à un kyste hydatique. Pan Afr Med J. 2013 Mar 27;14:118. doi : 10.11604/pamj.2013.14.118.1754. Imprimer 2013.
- Manenti G, Raguso M, D'Onofrio S, et al.Tumeur de Pancoast : le rôle de l'imagerie par résonance magnétique. Case Rep Radiol. 2013;2013:479120. doi : 10.1155/2013/479120. Epub 2013 Mar 31.
- Rusch VWManagement of Pancoast tumours (gestion des tumeurs de Pancoast). Lancet Oncol. 2006 Dec;7(12):997-1005.
- Nikolaos P, Vasilios L, Efstratios K, et al.Therapeutic modalities for Pancoast tumors. J Thorac Dis. 2014 Mar;6 Suppl 1(Suppl 1):S180-93. doi : 10.3978/j.issn.2072-1439.2013.12.31.
- Cancer du poumon : diagnostic et prise en chargeNICE guideline (2019 - mise à jour mars 2024)
- Marulli G, Battistella L, Mammana M, et alLes tumeurs du sillon supérieur (tumeurs de Pancoast). Ann Transl Med. 2016 Jun;4(12):239. doi : 10.21037/atm.2016.06.16.
- Deslauriers J, Tronc F, Fortin DGestion des tumeurs impliquant la paroi thoracique, y compris les tumeurs du pancoast et les tumeurs envahissant la colonne vertébrale. Thorac Surg Clin. 2013 Aug;23(3):313-25. doi : 10.1016/j.thorsurg.2013.05.001. Epub 2013 Jul 16.
- Davis GA, Knight SRLes tumeurs de Pancoast. Neurosurg Clin N Am. 2008 Oct;19(4):545-57, v-vi.
Poursuivre la lecture ci-dessous
Historique de l'article
Les informations contenues dans cette page sont rédigées et évaluées par des cliniciens qualifiés.
Prochaine révision prévue : 19 avril 2028
21 avril 2023 | Dernière version

Demandez, partagez, connectez-vous.
Parcourez les discussions, posez des questions et partagez vos expériences sur des centaines de sujets liés à la santé.

Vous ne vous sentez pas bien ?
Évaluez gratuitement vos symptômes en ligne