Blessures et fractures de l'avant-bras
Révisé par le Dr Colin Tidy, MRCGPDernière mise à jour par le Dr Hayley Willacy, FRCGP Dernière mise à jour 15 janvier 2025
Répond aux besoins du patient lignes directrices éditoriales
- TéléchargerTélécharger
- Partager
- Langue
- Discussion
L'avant-bras est la partie du bras située entre le coude et le poignet. Il comporte deux os : le radius et le cubitus. Il comporte également de nombreux tendons qui permettent au bras et au poignet de bouger. Les os peuvent se briser de différentes manières et les tendons peuvent s'endolorir lors de certaines activités. Ce dépliant explique ce qui se passe en cas de fracture d'un os de l'avant-bras ou d'entorse des tissus mous de l'avant-bras.
Dans cet article :
Poursuivre la lecture ci-dessous
Qu'est-ce qu'une fracture de l'avant-bras ?
Une fracture de l'avant-bras est une rupture d'un ou de plusieurs os de l'avant-bras.
Quels sont les os de l'avant-bras ?
L'avant-bras est assez simple puisqu'il ne comporte que deux os : le radius et le cubitus.
Le radius est du même côté que le pouce, le cubitus est du côté de l'auriculaire. Les os se touchent en fait près du poignet et du coude. Ils peuvent glisser l'un sur l'autre, ce qui permet au poignet de passer du haut au bas (comme lorsque vous ouvrez une poignée de porte).
Selon la façon dont vous vous blessez à l'avant-bras, vous pouvez vous fracturer le cubitus (ce qui est assez rare), les deux os (ce qui est plus probable) ou seulement le radius (ce qui est la façon la plus probable de se fracturer un os de l'avant-bras).
Quels sont les tissus mous de l'avant-bras ?
Par tissus mous, on entend généralement les tendons et les ligaments, bien qu'il soit assez rare d'endommager un ligament de l'avant-bras. En revanche, les problèmes liés aux tendons sont assez fréquents. Les tendons sont un peu comme des élastiques blancs. Dans l'avant-bras, ils font bouger le poignet vers le haut ou vers le bas (comme le mouvement que vous feriez en faisant rebondir une balle sur le sol). Ils font également bouger les doigts.
Comment les os de l'avant-bras se brisent-ils ?
Back to contentsEn général, le radius ou le cubitus sont cassés en tombant et en essayant d'amortir la chute avec la main.
Si votre paume est orientée vers le sol, l'os du radius se brise et la partie la plus proche de votre poignet est poussée vers le haut. C'est ce qu'on appelle une "fracture de Colles", du nom du Dr Colles qui l'a décrite pour la première fois en 1814. Cette photo montre l'aspect extérieur d'une fracture de Colles :
Fracture de la colonne vertébrale

© Dsprenkels, CC BY-SA 4.0, via Wikimedia Commons
Par Dsprenkels, CC BY-SA 4.0via Wikimedia Commons
Une fracture de Colles ne nécessite pas nécessairement une opération. Elle peut être remise en place sous anesthésie locale (un médecin peut injecter un médicament anesthésiant dans votre bras pour que vous n'ayez pas mal, puis remettre les os en place), puis plâtrée pendant environ six semaines.
À l'inverse, si vous tombez mais que votre poignet est replié (ou "fléchi") et que vous atterrissez sur le dos de votre main, il s'agit d'une fracture de Smith (du nom d'un certain Dr Smith, également du XIXe siècle). C'est ce qu'on appelle une fracture de Smith (du nom d'un certain Dr Smith, qui date lui aussi des années 1800). Cette fracture est généralement plus grave que la fracture de Colles et nécessite souvent une opération pour la fixer avec du métal. Elle n'est pas aussi fréquente que la fracture de Colles.
Le plus petit os de l'avant-bras, le cubitus, peut également se casser. S'il se casse, c'est généralement lors d'une chute, lorsque le radius se casse également. Il est rare que le cubitus se casse tout seul - par exemple en levant le bras pour se défendre si quelqu'un vous frappe avec quelque chose.
Si vous êtes dans la force de l'âge et que vous souffrez d'une de ces fractures, il est parfois utile de vérifier si vous souffrez d'un "amincissement" des os(ostéoporose).
Poursuivre la lecture ci-dessous
Fractures de l'avant-bras chez l'enfant
Back to contentsLes enfants se cassent généralement un os de l'avant-bras en tombant et en tendant la main pour s'arrêter. Les enfants souffrent donc généralement d'une fracture de Colles. Heureusement, les os de l'avant-bras des enfants cicatrisent beaucoup mieux que ceux des adultes, de sorte qu'une opération est rarement nécessaire. Au contraire, les os peuvent être remis en place pendant que l'enfant est sous anesthésie (c'est ce qu'on appelle une manipulation sous anesthésie (MUA)).
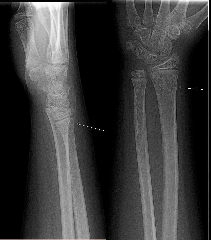
Il arrive souvent que l'os de l'avant-bras d'un enfant ne se brise pas complètement, mais se déforme simplement à la surface. C'est ce qu'on appelle une fracture "en bâton vert", qui ne nécessite pas d'opération : elle guérit dans un plâtre. Cette radiographie montre une fracture en bâton vert au niveau de la flèche blanche : il s'agit d'un petit renflement du bord de l'os, plutôt que d'une fracture complète :
Fracture du bâton vert

© Lucien Monfils, CC BY-SA 3.0, via Wikimedia Commons
Par Lucien Monfils (Travail personnel), CC BY-SA 3.0via Wikimedia Commons
Combien de temps faut-il pour que les fractures de l'avant-bras guérissent ?
Back to contentsEn général, les os mettent trois mois à guérir, mais 90 % de cette guérison a lieu au cours des six premières semaines. C'est pourquoi une fracture de l'avant-bras est généralement plâtrée pendant six semaines. Chez les enfants, les os guérissent encore plus vite.
Poursuivre la lecture ci-dessous
Puis-je faire quelque chose pour aider ma fracture de l'avant-bras à guérir plus rapidement ?
Back to contentsNe fumez pas ! Ou si vous fumez, essayez d'arrêter, même si ce n'est que temporairement. Le tabagisme empêche la cicatrisation des os.
Mangez sainement : vos os ont besoin de nutriments pour guérir.
Essayez de ne pas prendre trop d'ibuprofène ou d'autres anti-inflammatoires non stéroïdiens : ils peuvent ralentir le processus de guérison des os.
Quelles sont les lésions des tissus mous qui peuvent survenir dans l'avant-bras ?
Back to contentsEn général, les problèmes liés aux tissus mous (ce qui n'est pas un os) concernent les tendons de l'avant-bras. Ils résultent généralement d'une surutilisation du poignet ou du coude. Les types de lésions des tissus mous sont les suivants :
Coude de tennis
Le"tennis elbow" (le terme médical est épicondylite latérale) se produit lorsque les tendons de la surface extérieure du coude s'enflamment et deviennent douloureux.
Coude du golfeur
De même, les tendons situés sur la face interne du coude peuvent également être douloureux : c'est ce qu'on appelle le "golfer's elbow" (ou épicondylite médiale en termes médicaux).
Traitement des lésions de l'avant-bras
Back to contentsEn général, le traitement des problèmes de tendon consiste à reposer le poignet et l'avant-bras et à essayer d'arrêter le mouvement qui est à l'origine du problème. La physiothérapie peut être utile, de même que le port d'une orthèse de poignet ou de coude.
Cette photo montre l'endroit où la douleur est ressentie, à l'extérieur du coude, dans le cas du tennis elbow :
Coude de tennis

© BruceBlaus, CC BY-SA 4.0, via Wikimedia Commons
Par BruceBlaus, CC BY-SA 4.0via Wikimedia Commons
L'image suivante montre l'endroit où la douleur est ressentie, à l'intérieur du coude, dans le cas du coude du golfeur :
Coude du golfeur photo

© www.scientificanimations.com, CC BY-SA 4.0, via Wikimedia Commons
Par www.scientificanimations.com, CC BY-SA 4.0via Wikimedia Commons
Comme les tendons de l'avant-bras font également bouger les doigts, vous pouvez souffrir d'une tendinopathie de l'avant-bras si vous sollicitez trop vos doigts. Par exemple, si vous tapez beaucoup à la machine mais que vous ne tenez pas vos mains dans la bonne position, vous pouvez ressentir une douleur dans vos avant-bras (et non dans vos doigts).
Patient picks for Fractures

Os, articulations et muscles
Fracture de la hanche
Une fracture de la hanche est un autre terme pour désigner une fracture de la hanche. Les médecins parlent parfois de fracture du col du fémur ou de fracture du col du fémur. Il s'agit d'une blessure fréquente chez les personnes âgées, en particulier les femmes, qui souffrent d'un "amincissement" sous-jacent des os (ostéoporose). Il s'agit de la blessure grave la plus fréquente chez les personnes âgées qui nécessite une intervention chirurgicale d'urgence.
par le Dr Rosalyn Adleman, MRCGP

Os, articulations et muscles
Se remettre d'une fracture du bassin
A serious pelvic fracture is likely to need lengthy physical therapy and rehabilitation. Recovery times also depend on what other damage you experienced, particularly to the nerves that go to your legs.
par le Dr Colin Tidy, MRCGP
Autres lectures et références
- Rafi BM, Tiwari VFractures de l'avant-bras.
- Buchanan BK, Varacallo MTennis Elbow
- Kiel J, Kaiser KLe coude du golfeur.
- Manuel d'orthopédie de WheelessPediatric Both Bone Forearm Fractures. Duke Orthopaedics. Tiré du manuel en ligne octobre 2024
Poursuivre la lecture ci-dessous
Historique de l'article
Les informations contenues dans cette page sont rédigées et évaluées par des cliniciens qualifiés.
Prochaine révision prévue : 14 janvier 2028
15 Janvier 2025 | Dernière version

Demandez, partagez, connectez-vous.
Parcourez les discussions, posez des questions et partagez vos expériences sur des centaines de sujets liés à la santé.

Vous ne vous sentez pas bien ?
Évaluez gratuitement vos symptômes en ligne
Inscrivez-vous à la newsletter destinée aux patients
Votre dose hebdomadaire de conseils santé clairs et fiables, rédigés pour vous aider à vous sentir informé, confiant et maître de la situation.
En vous abonnant, vous acceptez notre politique de confidentialité. Vous pouvez vous désabonner à tout moment. Nous ne vendons jamais vos données.