Blessures et fractures du coude
Révisé par le Dr Colin Tidy, MRCGPDernière mise à jour par le Dr Hayley Willacy, FRCGP Dernière mise à jour 27 juin 2024
Répond aux besoins du patient lignes directrices éditoriales
- TéléchargerTélécharger
- Partager
- Langue
- Discussion
Professionnels de la santé
Les articles de référence professionnelle sont destinés aux professionnels de la santé. Ils sont rédigés par des médecins britanniques et s'appuient sur les résultats de la recherche et sur les lignes directrices britanniques et européennes. L'article Blessures et fractures de l'avant-bras vous sera peut-être plus utile, ou l'un de nos autres articles sur la santé.
Dans cet article :
L'humérus du bras et le radius et le cubitus de l'avant-bras se rencontrent pour former l'articulation du coude, une articulation charnière du bras. La proéminence osseuse à l'extrémité du coude est le processus olécranien du cubitus. La fosse antécubitale se situe sur la face antérieure du coude.
Les lésions du coude sont fréquentes, elles sont généralement secondaires à un traumatisme indirect et s'accompagnent souvent de lésions des articulations de l'épaule ou du poignet.1 Il est important d'évaluer les lésions rapidement et avec précision, en tenant compte de l'âge et du mécanisme de la lésion, notamment en raison du risque d'atteinte vasculaire qui l'accompagne. Le test d'extension du coude est un outil de dépistage utile des lésions osseuses, même s'il n'est pas infaillible.23
Outre les blessures énumérées dans le tableau ci-dessous, voir également les articles distincts intitulés Blessures et fractures de l'avant-bras (traite des fractures de Monteggia), Subluxation de la tête radiale (coude de la nourrice), Coude de tennis et coude du golfeur et Bursite olécranienne.
Poursuivre la lecture ci-dessous
Le mécanisme de la blessure
La présence de trois os et la diversité des mécanismes de lésions permettent d'envisager une grande variété de lésions.
Fractures de la tête et du col du radius | Tomber sur une main tendue |
Fractures de l'olécrane | Personnes âgées - traumatisme indirect par traction du triceps et du brachioradialis Enfants - coup direct au coude |
Fractures de l'apophyse coronoïde | Chute sur un coude étendu comme pour une luxation du coude |
Fractures de l'humérus distal | Tomber sur une main tendue |
Fractures intercondyliennes | Coup direct ou indirect au coude |
Fractures condyliennes | Coup direct sur un coude fléchi |
Fracture du capitellum | Chute sur une main tendue ou traumatisme direct |
Luxation du coude | Tomber sur un coude tendu Fréquent dans le sport chez les jeunes |
Fractures de la tête et du col du radius4
Back to contentsMécanisme de la lésion
Elles sont le plus souvent causées par une chute sur un bras tendu. La fracture de la tête radiale est la fracture la plus fréquente autour de l'articulation du coude chez les adultes, tandis que les fractures du col radial sont plus fréquentes chez les enfants.
Caractéristiques cliniques
Le patient présente un gonflement du coude latéral avec une limitation de l'amplitude des mouvements, en particulier de la rotation de l'avant-bras et de l'extension du coude ± un épanchement du coude et des ecchymoses. La douleur augmente lors de la rotation passive.
Le signe clinique le plus fiable est la sensibilité ponctuelle de la tête radiale.
Nécessite une évaluation minutieuse de l'atteinte nerveuse et vasculaire, en particulier de l'artère brachiale et des nerfs médian et cubital.
Il est important de détecter une crépitation ou un blocage mécanique du mouvement dû à des fragments de fracture déplacés. Cela nécessite souvent l'aspiration d'une hémarthrose avec l'instillation d'un anesthésique local pour soulager la douleur.
En cas de douleur importante au poignet et/ou de douleur centrale à l'avant-bras, il peut y avoir une dissociation radio-ulnaire longitudinale aiguë avec rupture de l'articulation radio-ulnaire distale.
Enquêtes
Des radiographies du coude, de face et de profil, sont généralement suffisantes.
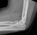
Les résultats peuvent être assez discrets et le seul indice peut être le signe du coussinet adipeux (ombres triangulaires radiotransparentes en avant et en arrière de l'humérus distal sur la radiographie latérale, indiquant une hémarthrose et un déplacement du coussinet adipeux intra-articulaire - souvent associé à une lésion squelettique intra-articulaire).
Image du signe du coussinet adipeux du coude (Hellerhoff (own work), via Wikimedia Commons) :
Signe du coussinet adipeux du coude

© James Heilman, MD, CC BY-SA 4.0, via Wikimedia Commons
James Heilman, MD, CC BY-SA 4.0, via Wikimedia Commons
Prise en charge des fractures du coude
Référer pour un traitement chirurgical urgent en cas de fracture du coude, de luxation ou de signes d'atteinte nerveuse ou vasculaire.
Les fractures complexes nécessitent une réduction ouverte et une fixation interne.
Sinon, il faut administrer une analgésie suffisante et envisager l'aspiration de l'articulation et l'instillation d'un anesthésique (généralement dans les mains d'un expert).
Immobiliser le coude dans une attelle postérieure à bras long avec le coude à 90°.
En cas de fracture non déplacée, retirez l'attelle postérieure et remplacez-la par une écharpe pour des raisons de confort uniquement ; surveillez l'absence de déplacement et mettez en place des exercices d'amplitude active, y compris la rotation, la flexion et l'extension, au moins 3 à 4 fois par jour.
Une étude Cochrane réalisée en 2011 a montré qu'il n'existait pas de données fiables permettant de répondre à la question de savoir si une mobilisation précoce améliorait la fonction sans augmenter les complications chez les adultes souffrant d'une fracture du coude.5
Chez les enfants
Peut être difficile à diagnostiquer, car l'ossification de la tête radiale ne se produit pas avant l'âge de 4 ans.
Il peut y avoir une fracture associée de la diaphyse cubitale (équivalente à la fracture de Monteggia chez l'adulte).
Une échographie ou une IRM peuvent être nécessaires pour confirmer le diagnostic.
Poursuivre la lecture ci-dessous
Fractures de l'olécrane6
Back to contentsMécanisme de la lésion
Il s'agit de fractures à faible énergie qui surviennent le plus souvent chez les personnes âgées et qui résultent d'un traumatisme indirect causé par une traction soudaine des muscles triceps et brachioradialis.
Cependant, chez les patients plus jeunes, les fractures de l'olécrane font généralement suite à un coup direct sur la pointe du coude et sont souvent comminutives, et il peut y avoir une fracture associée de la diaphyse ulnaire.
Caractéristiques cliniques
Le patient présente un gonflement et une sensibilité au niveau de l'olécrane avec une hémarthrose et une amplitude de mouvement limitée.
L'incapacité d'étendre le coude contre la gravité indique un dysfonctionnement du levier du triceps.
Il est nécessaire de vérifier la présence d'une lésion du nerf cubital et d'examiner les pouls distaux.
Enquêtes
La radiographie latérale du coude doit révéler la fracture.
Gestion
Immobilisez le coude dans une attelle postérieure à bras long, le coude étant en flexion de 60 à 90°, bien moulé en arrière.
Soutenez le bras à l'aide d'un collier et de manchettes ou d'un harnais standard.
Les fractures déplacées doivent être opérées. En cas de fracture non déplacée, poser une attelle pendant 5 à 7 jours, retirer l'attelle et refaire une radiographie pour confirmer l'absence de déplacement.
S'il est encore stable, des exercices de supination et de pronation en douceur sont appropriés, en utilisant une écharpe ou une attelle postérieure amovible pour plus de confort.
Exercices de flexion et d'extension après deux semaines.
Fractures de l'apophyse coronoïde7
Back to contentsMécanisme de la lésion
Le mécanisme de la lésion est le même que pour la luxation du coude et ces fractures sont associées à la luxation du coude dans environ 40 % des cas.
Caractéristiques cliniques
Les patients présentent une sensibilité au niveau de la fosse antécubitale et un gonflement au niveau du coude.
Vérifier la force du pouls radial avec le coude à 90°.
Enquêtes
La radiographie latérale du coude doit mettre en évidence une fracture de la coronoïde.
Gestion
Les fractures non déplacées doivent être immobilisées dans une attelle postérieure à bras long, le coude à 90° et l'avant-bras en supination complète. Au bout de trois semaines, commencez à faire des exercices d'amplitude de mouvement en utilisant une écharpe pour plus de confort.
Les fractures déplacées ou celles qui touchent plus de 50 % du processus doivent faire l'objet d'une réparation chirurgicale.
Poursuivre la lecture ci-dessous
Fractures de l'humérus distal8
Back to contentsMécanisme de la lésion
Elles peuvent survenir chez des patients jeunes après des traumatismes à haute énergie ou chez des patients âgés ostéoporotiques après des traumatismes à faible énergie.
Supracondylaire/transcondylaire - la plupart des lésions sont de type extension et résultent d'une chute sur un bras tendu.
Les fractures transcondyliennes sont plus fréquentes chez les personnes âgées.
Les fractures supracondyliennes sont plus fréquentes chez les enfants.
Caractéristiques cliniques
Le patient se présente généralement avec un gonflement du coude et une douleur.
Procéder à un examen minutieux à la recherche d'une atteinte neurale ou vasculaire en raison du risque de lésions de l'artère et du nerf brachiaux.
Un gonflement marqué de l'avant-bras ou une induration palpable des muscles fléchisseurs de l'avant-bras, avec une douleur lors de l'extension passive des doigts, suggère un syndrome du compartiment volaire aigu nécessitant une fasciotomie d'urgence.
Jusqu'à 18 % des fractures de la diaphyse humérale sont associées à une paralysie du nerf radial.9
Enquêtes
Radiographies du coude de face et de profil.
Gestion
Toutes les fractures non déplacées ou peu déplacées, sans atteinte neurale ou vasculaire, doivent faire l'objet d'une réparation chirurgicale - bien qu'une étude Cochrane ait mis en évidence l'absence de consensus sur la meilleure prise en charge chirurgicale.10
Immobiliser le coude dans une attelle postérieure à bras long, le coude à 90° par rapport à l'avant-bras en rotation neutre.
Vérifiez les pouls distaux après la mise en place de l'attelle et, en cas d'absence, étendez le coude jusqu'au point où les pouls reviennent.
Il est essentiel de vérifier fréquemment la fonction neurale et vasculaire au cours des 7 à 10 premiers jours, et la glace et l'élévation sont importantes pour réduire l'enflure.
Réexaminer dans les 24-48 heures.
Au bout de deux semaines, les patients doivent retirer l'attelle et effectuer des exercices légers. Ils doivent continuer à utiliser l'attelle pendant environ six semaines, puis commencer à effectuer des exercices vigoureux.
Fractures intercondyliennes
Back to contentsIl s'agit de fractures en forme de T ou de Y avec un déplacement variable entre les condyles et l'humérus.
Mécanisme de la lésion
Généralement causée par un coup direct ou indirect sur le coude. L'olécrane est coincé entre les deux condyles de l'humérus.
Caractéristiques cliniques
Le patient se présente généralement avec un gonflement marqué des tissus, en tenant son avant-bras en pronation.
L'avant-bras blessé peut sembler raccourci.
Une crépitation du mouvement peut être ressentie lorsque les condyles sont pressés l'un contre l'autre.
Enquêtes
Les clichés AP et latéraux doivent révéler la fracture intercondylienne.
Gestion
La plupart des fractures nécessitent une intervention chirurgicale parce qu'elles sont déplacées.11
Demander un avis orthopédique.
Dans de rares cas, les fractures non déplacées peuvent être traitées de la même manière que les fractures supracondyliennes non déplacées, comme indiqué ci-dessus.
Fractures condyliennes12
Back to contentsMécanisme de la lésion
Les fractures du condyle latéral sont plus fréquentes que celles du condyle médian.
Les fractures latérales sont généralement dues à une contrainte soudaine en varus sur un coude en extension - une chute sur un coude en extension.
Les fractures médiales sont dues soit à un impact sur l'olécrane lorsque le coude est fléchi, soit à une contrainte soudaine en valgus sur un coude en extension.
Caractéristiques cliniques
Les patients présentent généralement un gonflement, une limitation de l'amplitude des mouvements et une sensibilité au niveau du condyle lésé.
Une crépitation au mouvement est souvent présente.
Enquêtes
Les radiographies de face et de profil révèlent un élargissement de la distance intercondylienne et des fragments de fracture déplacés.
Gestion
L'aspiration de l'hémarthrose articulaire soulage l'inconfort.
Les fractures déplacées nécessitent une correction chirurgicale.13
Les fractures non déplacées peuvent être traitées avec une attelle postérieure à bras long, le coude étant à 90°.
Fracture du capitellum14
Back to contentsMécanisme de la lésion
Ces fractures sont généralement causées par une chute sur la main tendue ou par un traumatisme direct.
Caractéristiques cliniques
Ces fractures concernent la surface articulaire de l'humérus distal.
Se présenter avec une douleur et un épanchement au niveau du coude antérieur.
Enquêtes
Les radiographies latérales et antérieures révèlent généralement la fracture.
Gestion
Les fractures non déplacées peuvent faire l'objet d'une attelle mais, le plus souvent, elles sont déplacées et nécessitent une fixation chirurgicale.
Luxation du coude
Back to contentsLa luxation du coude est la deuxième luxation articulaire la plus fréquente.9 La "terrible triade du coude" fait référence à une combinaison de luxation du coude et de fracture de la tête radiale et de l'apophyse coronoïde - elle est notoirement difficile à gérer, bien qu'une étude systématique ait montré que si les complications sont fréquentes, les résultats fonctionnels sont généralement satisfaisants.15
Mécanisme de la lésion
Souvent due à une chute sur un coude tendu.
Les luxations sans fracture sont qualifiées de simples, tandis que les luxations avec fracture sont qualifiées de complexes.
Elles sont classées en fonction de la position du cubitus par rapport à l'humérus après la blessure.
Caractéristiques cliniques
Souvent associée à une lésion de l'artère et du nerf brachial, il faut donc procéder à un examen complet des pouls distaux et de la fonction des nerfs médian et ulnaire.16
Le patient se présente généralement avec une douleur intense, le coude étant fléchi et présentant un gonflement et une déformation apparents.
Enquêtes
Radiographies du coude de face et de profil pour confirmer la luxation et exclure les fractures.
Prise en charge de la luxation du coude
Une réduction rapide est essentielle. Elle est généralement effectuée sous sédation IV et avec une analgésie adéquate.
Luxation postérieure :17
Essayez d'abord une contre-traction sur l'humérus tout en appliquant une traction longitudinale sur le poignet et l'avant-bras.
Poursuivre la traction distale lors de la flexion du coude.
Il peut être nécessaire d'exercer une pression vers le bas sur l'avant-bras proximal.
En cas d'échec, placer le patient face contre terre, le coude pendant sur le côté de la table, et placer un petit oreiller sous l'humérus juste en amont de l'articulation du coude ; suspendre un poids de 2,5 à 10 kg au poignet ou appliquer une légère traction longitudinale.
S'atténue généralement en quelques minutes mais peut nécessiter une pression vers l'avant sur l'olécrane.
Luxation antérieure :18
Il s'agit en fait de l'inverse de ce qui précède, en appliquant une pression postérieure et descendante sur l'avant-bras tout en appliquant une pression antérieure par l'arrière sur l'humérus distal.
Après la réduction, tester la mobilité et la stabilité de l'articulation et vérifier la fonction neurale et vasculaire. Répéter la radiographie et immobiliser le coude dans une attelle postérieure avec le coude à 90°.
Autres lectures et références
- Shearman C et El-Khoury GPitfalls in the Radiologic Evaluation of Extremity Trauma : Part I. The Upper Extremity, Am Fam Phys 1998 March 1;57(5):995-1006.
- Galbiatti JA, Cardoso FL, Ferro JAS, et alLa triade terrible du coude : évaluation du traitement chirurgical. Rev Bras Ortop. 2018 Jun 11;53(4):460-466. doi : 10.1016/j.rboe.2018.05.012. eCollection 2018 Jul-Aug.
- Lu X, Yan G, Lu M, et alCaractéristiques épidémiologiques et prise en charge de la luxation du coude avec fracture associée dans la population pédiatrique. Medicine (Baltimore). 2017 Dec;96(48):e8595. doi : 10.1097/MD.0000000000008595.
- Sonin AFractures du coude et de l'avant-bras. Semin Musculoskelet Radiol. 2000;4(2):171-91.
- Appelboam A, Reuben AD, Benger JR, et alElbow extension test to rule out elbow fracture : multicentre, prospective validation and observational study of diagnostic accuracy in adults and children. BMJ. 2008 Dec 9;337:a2428. doi : 10.1136/bmj.a2428.
- Jie KE, van Dam LF, Verhagen TF, et alLe test d'extension et la sensibilité du point ossalien ne permettent pas d'exclure avec précision une lésion significative lors d'un traumatisme aigu du coude. Ann Emerg Med. 2014 Jul;64(1):74-8. doi : 10.1016/j.annemergmed.2014.01.022. Epub 2014 Feb 13.
- Saeed W, Waseem MAperçu des fractures du coude.
- Harding P, Rasekaba T, Smirneos L, Holland AE. Mobilisation précoce pour les fractures du coude chez l'adulteBase de données Cochrane des revues systématiques 2011, numéro 6. Art. No. : CD008130. DOI: 10.1002/14651858.CD008130.pub2.
- Sullivan CW, Herron T, Hayat ZFracture de l'olécrane.
- Lowery M, Massey P; Fractures de la coronoïde.
- Saracco M, Smimmo A, De Marco D, et alApproche chirurgicale pour la fracture de l'humérus distal : Postérieure vs latérale. Orthop Rev (Pavia). 2020 Jun 25;12(Suppl 1):8664. doi : 10.4081/or.2020.8664. eCollection 2020 Jun 29.
- Menu de l'articulation du coudeManuel d'orthopédie de Wheeless
- Wang Y, Zhuo Q, Tang P, et alLes interventions chirurgicales pour le traitement des fractures de l'humérus distal chez les adultes. Cochrane Database Syst Rev. 2013 Jan 31;1:CD009890. doi : 10.1002/14651858.CD009890.pub2.
- Tomori Y, Sudo Y, Iizawa N, et al.Fracture intercondylienne de l'humérus distal chez un enfant de 7 ans : Un rapport de cas et une revue de la littérature. Medicine (Baltimore). 2017 Feb;96(6):e6085. doi : 10.1097/MD.0000000000006085.
- Martins T, Tiwari V, Marappa-Ganeshan RFractures du condyle huméral latéral chez l'enfant.
- Tomori Y, Nanno M, Takai SLa luxation postéro-interne du coude avec fracture condylienne latérale de l'humérus chez l'enfant : Trois rapports de cas et une revue de la littérature. Medicine (Baltimore). 2018 Sep;97(36):e12182. doi : 10.1097/MD.0000000000012182.
- Majeed M, Thahir A, Krkovic MLa prise en charge opératoire des fractures du capitellum. Cureus. 2024 Apr 29;16(4):e59326. doi : 10.7759/cureus.59326. eCollection 2024 Apr.
- Laumonerie P, Mansat PLes lésions de la triade terrible du coude : un spectre de théories. JSES Int. 2023 Apr 15;7(6):2565-2568. doi : 10.1016/j.jseint.2023.03.018. eCollection 2023 Nov.
- Sheps DM, Hildebrand KA, Boorman RSLes luxations simples du coude : évaluation et traitement. Hand Clin. 2004 Nov;20(4):389-404.
- Waymack JR, An JLa luxation postérieure du coude.
- Decker N, Norse ADislocation antérieure du coude.
Poursuivre la lecture ci-dessous
Historique de l'article
Les informations contenues dans cette page sont rédigées et évaluées par des cliniciens qualifiés.
Prochaine révision prévue : 26 juin 2027
27 juin 2024 | Dernière version

Demandez, partagez, connectez-vous.
Parcourez les discussions, posez des questions et partagez vos expériences sur des centaines de sujets liés à la santé.

Vous ne vous sentez pas bien ?
Évaluez gratuitement vos symptômes en ligne