IRM
Révisé par le Dr Colin Tidy, MRCGPDernière mise à jour par le Dr Toni Hazell, MRCGPDernière mise à jour 7 août 2023
Répond aux besoins du patient lignes directrices éditoriales
- TéléchargerTélécharger
- Partager
- Langue
- Discussion
L'IRM est un examen sûr et indolore qui permet d'obtenir des images détaillées des organes et autres structures à l'intérieur du corps.
Remarque: les informations ci-dessous sont données à titre indicatif. Les modalités (et la façon dont les tests sont effectués) peuvent varier d'un hôpital à l'autre. Suivez toujours les instructions de votre médecin ou de l'hôpital local. Celles-ci sont généralement jointes à votre lettre de rendez-vous.
Dans cet article :
Poursuivre la lecture ci-dessous
Qu'est-ce qu'une IRM ?
IRM signifie imagerie par résonance magnétique. L'IRM utilise un champ magnétique puissant et des ondes radio pour créer une image détaillée sur un écran d'ordinateur. Elle peut montrer différents types de tissus, d'organes et d'autres structures à l'intérieur du corps.
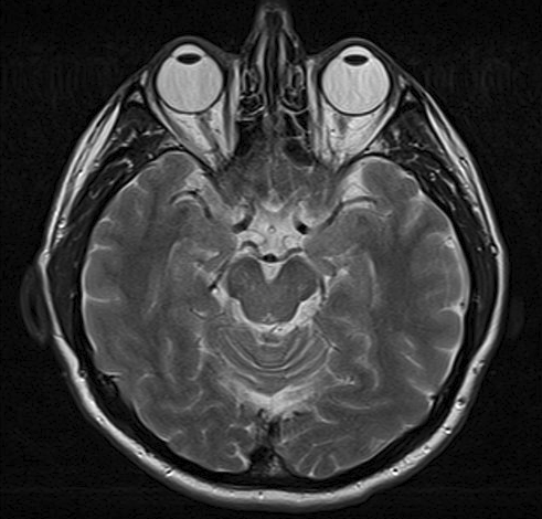
Cette image est une IRM du cerveau. Les globes oculaires de la personne sont visibles en haut de l'image.
IRM

By Ptrump (Own work) via Wikimedia Commons
Comment fonctionne l'IRM ?
Votre corps contient des millions d'atomes d'hydrogène. Lorsque vous êtes dans un scanner IRM :
Un champ magnétique puissant aligne les particules appelées protons qui se trouvent dans les atomes d'hydrogène. Tous les protons s'alignent parallèlement au champ magnétique, comme de petits aimants. (Normalement, les millions de protons se trouvent tous dans des directions aléatoires).
Le scanner envoie ensuite de brèves salves d'ondes radio dans le corps. Les ondes radio font bouger les protons de leur position.
Lorsque la salve d'ondes radio s'arrête, les protons se remettent en place. Ce faisant, ils émettent des signaux radio. Les protons des différents tissus du corps se réalignent à des vitesses différentes. Par conséquent, le signal émis par les différents tissus du corps varie. Ainsi, par exemple, les tissus mous peuvent être distingués des tissus durs sur la base des signaux émis.
Ces signaux sont détectés par un dispositif de réception dans le scanner.
Le dispositif de réception transmet les signaux à un ordinateur. L'ordinateur crée une image sur la base des signaux radio émis par le corps.
Poursuivre la lecture ci-dessous
En quoi consiste une IRM ?
Le scanner IRM ressemble à un tunnel d'environ 1,5 mètre de long, entouré d'un grand aimant circulaire. Vous vous allongez sur un divan qui glisse ensuite dans le scanner. Un "dispositif de réception", semblable à une antenne, est placé derrière ou autour de la partie du corps examinée. Il détecte les minuscules signaux radio émis par votre corps. Lors de la prise de chaque "image", vous devez rester immobile pendant quelques minutes, sinon l'image du scanner risque d'être floue.
Scanner IRM

Par Jan Ainali (travail personnel) via Wikimedia Commons.
Le scanner lui-même est indolore. L'ensemble de la procédure peut durer de 15 à 40 minutes. Il peut être un peu inconfortable de rester allongé sur le divan pendant cette période. Les jeunes enfants peuvent avoir besoin d'une anesthésie générale pour rester immobiles suffisamment longtemps pour que les photos soient prises. L'endroit où vous êtes allongé est assez fermé et certaines personnes peuvent trouver cela très déstabilisant.
Si vous avez peur des espaces confinés(claustrophobie), vous devez en discuter avec votre médecin avant de passer le scanner. Certaines régions du pays ont accès à des scanners "ouverts". Toutefois, ces appareils ne sont pas très répandus et l'attente est généralement plus longue pour un scanner "ouvert" que pour un scanner "fermé".
Dans certains cas, une injection d'un colorant de contraste spécial est administrée dans la circulation sanguine via une veine du bras. Cela permet d'obtenir des images plus claires de certains tissus ou organes examinés.
Le radiographe est assis dans la salle de contrôle à côté du scanner et observe à travers la fenêtre. Toutefois, vous pouvez lui parler, généralement par l'intermédiaire d'un interphone, et vous serez observé à tout moment sur un moniteur.
Le scanner étant bruyant, on vous donnera un casque ou des bouchons d'oreille pour protéger vos oreilles du bruit. Très souvent, vous pouvez écouter la radio ou de la musique avec les écouteurs.
À quoi sert l'IRM ?
L'IRM permet d'obtenir des images claires de la plupart des parties du corps. Elle est donc utile pour toutes sortes de raisons lorsque d'autres examens (tels que les rayons X) ne fournissent pas suffisamment d'informations.
Elle est couramment utilisée pour obtenir des images détaillées du cerveau et de la moelle épinière, afin de détecter des anomalies et des tumeurs. Même les déchirures des ligaments autour des articulations peuvent être détectées par une IRM. L'IRM est donc de plus en plus utilisée à la suite de blessures sportives.
Cerveau
L'IRM est l'examen de premier choix pour les tumeurs cérébrales, car elle produit des images plus claires que la tomographie informatisée (CT) et montre les zones du cerveau difficiles à atteindre. Le contraste entre la matière grise et la matière blanche du cerveau est évident, ce qui fait de l'IRM le meilleur choix pour de nombreuses autres pathologies, notamment la sclérose en plaques, les accidents vasculaires cérébraux, la maladie d'Alzheimer et l'épilepsie.
Système musculo-squelettique
Ici, l'IRM est utilisée pour examiner la colonne vertébrale - pour évaluer les maladies articulaires, la pression sur les nerfs et les tumeurs des tissus mous.
Système gastro-intestinal
L'IRM permet une évaluation non invasive des maladies inflammatoires de l'intestin et des tumeurs intestinales. Elle permet également d'examiner les problèmes au niveau du foie et du pancréas.
Vaisseaux sanguins et cœur
Il s'agit de l'angiographie par résonance magnétique (ARM), qui génère des images des artères à la recherche de rétrécissements anormaux ou de dilatations de la paroi des vaisseaux (ceux qui risquent d'éclater). L'ARM est souvent utilisée pour évaluer les artères du cou et du cerveau, l'aorte thoracique et abdominale, les artères rénales et les jambes. Elle peut également être utilisée pour évaluer les maladies cardiaques congénitales.
Poursuivre la lecture ci-dessous
Préparation à l'IRM
Votre hôpital local devrait vous donner des informations sur ce qui est nécessaire avant que vous ne veniez pour le scanner.
Le scanner IRM utilise un aimant extrêmement puissant, de sorte que les personnes portant certains types d'implants médicaux ne peuvent pas être scannées. En effet, l'aimant peut potentiellement déplacer les dispositifs médicaux contenant du métal ou affecter leur fonctionnement.
Par conséquent, avant d'entrer dans la zone de scannage, on vous demandera si vous avez des dispositifs médicaux dans votre corps. Il se peut que vous deviez remplir un questionnaire de sécurité sur les objets susceptibles de contenir du métal. La liste suivante n'est pas exhaustive, mais elle peut vous aider à vous rappeler le type de choses que les radiographes doivent connaître :
Défibrillateur ou stimulateur cardiaque interne (implanté).
Implant auriculaire (cochléaire).
Clips chirurgicaux tels que ceux utilisés pour les anévrismes cérébraux.
Valves cardiaques artificielles.
Ports de perfusion de médicaments implantés.
Membres artificiels ou articulations métalliques.
Stimulateurs nerveux implantés.
Broches, vis, plaques, stents ou agrafes chirurgicales.
Il est également important d'indiquer au radiologue si des fragments métalliques se sont déjà logés dans vos yeux ou dans votre corps. Dans certains cas, vous devrez passer une radiographie avant l'IRM, afin de vérifier que vous pouvez entrer dans le scanner en toute sécurité.
Effets secondaires de l'IRM
Les IRM sont indolores et considérées comme sûres. L'IRM n'utilise pas de rayons X, de sorte que les problèmes éventuels associés aux images radiographiques et aux tomodensitogrammes (qui utilisent des rayons X) ne sont pas associés à l'IRM.
Cependant :
Dans de rares cas, certaines personnes réagissent à l'agent de contraste qui est parfois utilisé.
Il est généralement conseillé aux femmes enceintes de ne pas passer d'IRM, sauf en cas d'urgence. Bien que cet examen soit considéré comme sûr, les effets à long terme des champs magnétiques puissants sur le développement du bébé ne sont pas encore connus.
Que faire après l'IRM ?
Il n'y a pas d'effets secondaires à l'examen. Vous pouvez reprendre vos activités normales dès la fin de l'examen. Les images du scanner sont étudiées par un spécialiste qui les interprète - un radiologue - et qui envoie un rapport au médecin qui a demandé le scanner.
Il est habituel d'attendre au moins deux semaines avant de connaître les résultats. En cas de résultats urgents, le spécialiste sera informé dès que possible. Le résultat est renvoyé à la personne qui a demandé l'examen. Ainsi, si un consultant de l'hôpital demande un scanner, vous obtiendrez le résultat lors de votre prochain rendez-vous avec lui. Si vous êtes inquiet, vous pouvez appeler sa secrétaire, mais ne contactez pas le médecin généraliste pour obtenir le résultat, car il ne l'aura pas. Si le médecin généraliste a demandé une IRM, c'est lui qui vous donnera le résultat.
Sélection de patients pour L'imagerie

Tests et enquêtes
Tests barytés
Barium tests are used to help see the outline of various parts of the gut (gastrointestinal tract). These include the gullet (oesophagus), stomach, upper gut (small intestines) and colon (large intestine). Barium X-ray tests are done less commonly these days. Today we usually look into the gut with a flexible telescope (endoscopy or colonoscopy) . However, there is still a place for barium tests to help assess various problems of the gut. Note: the information below is a general guide only. The arrangements, and the way tests are performed, may vary between different hospitals. Always follow the instructions given by your doctor or local hospital.
par le Dr Rosalyn Adleman, MRCGP

Tests et enquêtes
Échographie
Une échographie est un examen indolore qui utilise des ondes sonores pour créer des images des organes et des structures à l'intérieur du corps. Il s'agit d'un examen très courant. Comme il utilise des ondes sonores, il est considéré comme très sûr. Les scanners Doppler et duplex sont utilisés pour visualiser le sang ou les fluides circulant dans le corps. Remarque : les informations ci-dessous ne constituent qu'un guide général. Les modalités et la façon dont les tests sont effectués peuvent varier d'un hôpital à l'autre. Suivez toujours les instructions de votre médecin ou de l'hôpital local.
par le Dr Toni Hazell, MRCGP
Autres lectures et références
- IRMCancer Research UK ; 2022
Poursuivre la lecture ci-dessous
Historique de l'article
Les informations contenues dans cette page sont rédigées et évaluées par des cliniciens qualifiés.
Prochaine révision prévue : 5 août 2028
7 août 2023 | Dernière version

Demandez, partagez, connectez-vous.
Parcourez les discussions, posez des questions et partagez vos expériences sur des centaines de sujets liés à la santé.

Vous ne vous sentez pas bien ?
Évaluez gratuitement vos symptômes en ligne
Inscrivez-vous à la newsletter destinée aux patients
Votre dose hebdomadaire de conseils santé clairs et fiables, rédigés pour vous aider à vous sentir informé, confiant et maître de la situation.
En vous abonnant, vous acceptez notre politique de confidentialité. Vous pouvez vous désabonner à tout moment. Nous ne vendons jamais vos données.