Échographie
Révision par les pairs par le Dr Hayley Willacy, FRCGP Dernière mise à jour par Dr Toni Hazell, MRCGPDernière mise à jour le 19 septembre 2023
Répond aux besoins du patient lignes directrices éditoriales
- TéléchargerTélécharger
- Partager
- Langue
- Discussion
Une échographie est un examen indolore qui utilise des ondes sonores pour créer des images des organes et des structures à l'intérieur du corps. Il s'agit d'un examen très courant. Comme il utilise des ondes sonores, il est considéré comme très sûr.
Les scanners Doppler et duplex sont utilisés pour visualiser le sang ou les fluides circulant dans le corps.
Remarque: les informations ci-dessous sont données à titre indicatif. Les modalités et la façon dont les tests sont effectués peuvent varier d'un hôpital à l'autre. Suivez toujours les instructions de votre médecin ou de l'hôpital local.
Dans cet article :
Poursuivre la lecture ci-dessous
Qu'est-ce qu'une échographie ?
L'échographie est un examen sûr et indolore qui permet d'obtenir des images des organes, des glandes, des masses anormales et d'autres structures telles que les muscles, les tendons et les articulations. Elle est également utilisée pour surveiller la croissance et le développement du fœtus pendant la grossesse.
Qu'est-ce que l'échographie ?
Les ultrasons sont des sons à haute fréquence que l'on ne peut pas entendre mais qui peuvent être émis et détectés par des appareils spéciaux.
À quoi sert l'échographie ?
Elle est utilisée dans de nombreuses situations. La façon dont les ultrasons rebondissent sur les différents tissus peut aider à déterminer la taille, la forme et la consistance des organes, des structures et des anomalies. Elle peut donc :
Ils permettent de surveiller la croissance de l'enfant à naître et de détecter les anomalies. L'échographie est un examen de routine pour les femmes enceintes.
Détecter les anomalies des structures cardiaques telles que les valves cardiaques. Ce type d'échographie est appelé échocardiographie. Pour plus de détails, voir la fiche séparée intitulée Echocardiogramme.
Aider à diagnostiquer les problèmes des organes internes tels que le :
Le foie.
Vésicule biliaire.
Pancréas.
Glande thyroïde.
Ganglions lymphatiques.
Ovaires.
Testicules.
Les reins.
Vessie.
Annexe.
Par exemple, elle peut aider à déterminer si une grosseur anormale dans l'un de ces organes est une tumeur solide ou un kyste rempli de liquide. L'échographie permet également de rechercher des calculs dans la vésicule biliaire ou les reins.
Aider à déterminer la nature des masses mammaires. L'échographie est l'un des tests utilisés pour déterminer si une grosseur est non cancéreuse (bénigne) ou s'il s 'agit d'un cancer du sein.
Aider à diagnostiquer les problèmes de muscles, de tendons et d'articulations. Par exemple, les échographies sont utilisées pour aider à diagnostiquer :
Détecter un élargissement anormal des vaisseaux sanguins (anévrismes).
Guide des biopsies internes. Une biopsie est une procédure qui consiste à prélever un échantillon de tissu. Certaines biopsies sont réalisées à l'aide d'une fine aiguille, qui est guidée au bon endroit par une échographie. Par exemple, si vous avez une grosseur dans le sein, un échantillon de la grosseur peut être prélevé. L'échantillon est ensuite examiné au microscope pour déterminer si la grosseur est cancéreuse ou non.
Vérifier si ce qui a été placé dans votre corps est toujours là. Par exemple, si vous utilisez un stérilet (dispositif intra-utérin) et que les fils ne sont pas visibles, un scanner vous dira si le stérilet est toujours là ou s'il est tombé.
Quelques techniques d'échographie spécialisées
Dans certaines situations, une image plus claire peut être obtenue à partir d'une sonde qui se trouve à l'intérieur du corps. Une petite sonde, toujours reliée par un fil à l'appareil d'échographie, peut alors être utilisée :
Avalé dans le gosier (œsophage). Cette technique peut être utilisée pour obtenir des images plus claires des organes internes, en particulier de l'estomac, de la partie supérieure de l'intestin et du pancréas.
Placé dans le vagin ou le rectum pour obtenir des images plus claires des organes internes, tels que l'utérus, les ovaires ou la prostate.
Utilisé pour guider le chirurgien lors d'une opération, afin d'examiner les structures plus en profondeur.
Les ultrasons peuvent également être utilisés pour traiter certaines affections, en particulier celles des muscles, des tendons et des articulations. Le scanner peut être utilisé pour guider une injection qui peut aider à traiter le problème.
L'injection réalisée à l'aide d'un échographe permet de s'assurer qu'elle atteint exactement le bon endroit. Par exemple, les injections guidées par ultrasons sont un moyen courant de traiter les problèmes d'épaule tels que l'épaule gelée.
Les listes ci-dessus ne sont pas exhaustives et l'échographie a d'autres utilisations.
Préparation à l'échographie
En général, aucune préparation particulière n'est nécessaire. Continuez à prendre vos médicaments habituels. Vous devez manger et boire normalement avant et après le test, sauf indication contraire. Par exemple :
Si certaines parties du ventre (abdomen) sont examinées, il peut vous être demandé de suivre un régime pauvre en fibres pendant un jour ou deux avant l'examen (pour minimiser les "gaz" dans l'intestin).
Il peut vous être demandé de ne pas manger pendant plusieurs heures avant le scanner de l'abdomen.
Occasionnellement, pour certains scanners, un lavement peut vous être administré pour nettoyer l'intestin.
Pour l'examen de la vessie ou du bassin, il peut vous être demandé de boire un peu de liquide avant l'examen afin que votre vessie soit pleine. Cela est particulièrement probable si vous passez un examen pendant la grossesse, ou un examen des ovaires ou de l'utérus.
Si votre appareil rénal (reins et vessie) est examiné, il se peut que l'on vous demande de vous présenter avec la vessie pleine, de passer le premier examen, de vider votre vessie, puis de repasser l'examen. Cela permet de vérifier que votre vessie se vide complètement lorsque vous allez aux toilettes.
On vous dira ce que vous devez faire avant chaque examen.
Poursuivre la lecture ci-dessous
Comment fonctionne l'échographie ?
Les ultrasons se déplacent librement dans les fluides et les tissus mous. Cependant, les ultrasons rebondissent (sont réfléchis) sous forme d'échos lorsqu'ils touchent une surface plus solide (dense). Par exemple, les ultrasons se déplacent librement dans le sang d'une cavité cardiaque. Mais lorsqu'ils rencontrent une valve solide, une grande partie des ultrasons est renvoyée en écho.
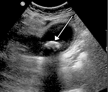
Autre exemple : lorsque les ultrasons traversent la bile dans la vésicule biliaire, ils renvoient un écho puissant s'ils rencontrent un calcul biliaire solide, comme dans l'image échographique ci-dessous. La flèche indique un calcul biliaire dans la vésicule biliaire.
Image échographique des calculs biliaires

Par James Heilman (Travail personnel), via Wikimedia Commons
Ainsi, lorsque les ultrasons "frappent" différentes structures de densité différente dans le corps, ils renvoient des échos de force variable.
En quoi consiste une échographie ?
Vous vous allongez sur un divan et un opérateur place une sonde sur votre peau, au-dessus de la partie du corps à examiner. La sonde ressemble un peu à un stylo émoussé très épais. Une gelée lubrifiante est appliquée sur votre peau pour que la sonde soit bien en contact avec votre corps. L'image ci-dessous montre une échographie du cou.
Échographie du cou

Par l'aviateur David C Danford, libéré [Public domain], via Wikimedia commons
La sonde est reliée par un fil à l'appareil d'échographie, lui-même relié à un moniteur. Des impulsions d'ultrasons sont envoyées de la sonde dans le corps à travers la peau. Les ondes ultrasonores sont ensuite renvoyées sous forme d'échos par les différentes structures du corps.
Les échos sont détectés par la sonde et transmis par le câble à l'appareil d'échographie.
Appareil à ultrasons

Par Daniel W Rickey, via Wikimedia Commons
Elles sont affichées sous forme d'image sur le moniteur. L'image est constamment mise à jour, de sorte que le scanner peut montrer le mouvement ainsi que la structure. Par exemple, les valves d'un cœur qui s'ouvrent et se ferment pendant le balayage du cœur.
L'opérateur déplace la sonde sur la surface de la peau pour obtenir des vues sous différents angles.
L'examen est indolore et dure environ 15 à 45 minutes, selon les parties du corps examinées. Les résultats de l'examen peuvent être enregistrés sous forme d'images fixes ou de vidéo, et un rapport résumant les résultats sera également rédigé.
Poursuivre la lecture ci-dessous
Qu'est-ce qu'une échographie Doppler ?
L'échographie Doppler enregistre les ondes sonores qui se réfléchissent sur des objets en mouvement, tels que les cellules sanguines, afin de mesurer leur vitesse et d'autres aspects de leur circulation dans l'organisme.
Comment fonctionne l'échographie Doppler ?
Si la structure se déplace, l'écho revient à une fréquence légèrement différente (effet Doppler). Cette différence de fréquence peut être utilisée pour mesurer la vitesse du mouvement.
Le sang qui se déplace dans une artère ou une veine produit de petits échos qui sont utilisés pour mesurer la vitesse de déplacement des cellules sanguines. Les ondes sonores peuvent être amplifiées par des haut-parleurs.
Cela permet au praticien d'écouter le flux des cellules sanguines pour déterminer si le flux est normal ou non. Par exemple, écouter le flux sanguin dans le cœur d'un bébé lors d'un examen prénatal de routine.
Les ondes sonores peuvent également être converties en images couleur sur un écran afin de visualiser le flux dans les artères ou les veines (Doppler couleur) - comme ci-dessous.
Echographie Doppler couleur

Par Mikael Häggström [CC0] (Travail personnel), via Wikimedia Commons
Ils peuvent également être représentés sur un graphique montrant les changements de vitesse et de direction (vélocité).
À quoi sert l'échographie Doppler ?
Pour écouter les battements de cœur d'un bébé à naître (fœtus) pendant la grossesse.
Pour examiner le flux sanguin dans les artères ou les veines de vos bras ou de vos jambes afin de déterminer si vous êtes atteint :
Lésion des veines ou des artères à la suite d'un traumatisme.
En quoi consiste l'échographie Doppler ?
Pendant la grossesse, l'échographie Doppler est très similaire à une échographie. Une sonde recouverte de gel est posée sur votre peau, au-dessus de l'utérus. Elle est reliée à un haut-parleur. Vous et le praticien pouvez écouter le flux sanguin dans le cœur du bébé.
Lors d'une échographie Doppler des bras et des jambes, des brassards de tension artérielle sont placés le long de la cuisse, du mollet ou de la cheville, ou en différents points du bras. Une pâte est appliquée sur la peau des artères à examiner. Des images sont créées lorsque la sonde est déplacée sur chaque zone.
Qu'est-ce que l'échographie duplex ?
L'échographie duplex est une technique spéciale qui combine l'échographie traditionnelle et l'échographie Doppler. Des images de l'objet solide examiné - par exemple, l'artère et le sang qui y circule - sont affichées sur un écran ou un moniteur.
L'objet est généralement gris et le flux sanguin est généralement en couleur (Doppler couleur).
À quoi sert l'échographie duplex ?
L'échographie duplex est le plus souvent utilisée pour évaluer le flux sanguin dans les différentes artères et veines du corps. L'examen peut aider à diagnostiquer les affections suivantes :
Élargissement de l'artère principale du ventre (anévrisme de l'aorte abdominale). Les échographies sont utilisées dans les programmes nationaux de dépistage de l'anévrisme de l'aorte abdominale au Royaume-Uni.
Blocage d'une artère (occlusion artérielle).
Caillot de sang.
Obstruction des artères du cou (maladie occlusive de la carotide).
Le duplex rénal examine les reins et leurs vaisseaux sanguins.
Insuffisance veineuse (les veines ont du mal à renvoyer le sang vers le cœur).
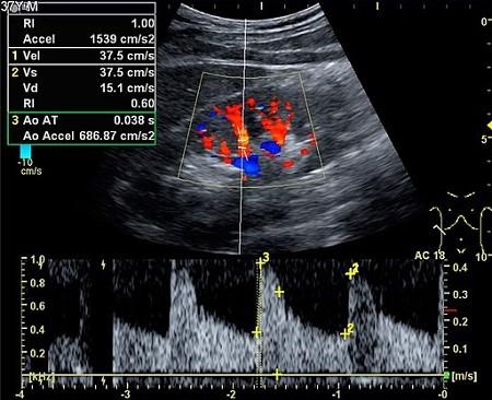
Les images ci-dessous sont produites à partir d'un scanner Doppler du rein.
Échographie rénale

Par Kristoffer Lindskov Hansen, Michael Bachmann Nielsen et Caroline Ewertsen [CC BY 4.0 (https://creativecommons.org/licenses/by/4.0)], via Wikimedia Commons
En quoi consiste l'échographie duplex ?
Ce test est très similaire à une échographie. Une sonde recouverte de gel est placée sur la zone à examiner. Des images de l'organe solide et du sang qui le traverse sont ensuite visualisées sur un écran.
Y a-t-il des effets secondaires ?
Ces scanners sont indolores et sûrs. Contrairement aux radiographies et autres examens d'imagerie, ils n'utilisent pas de radiations. Il n'a pas été constaté qu'ils provoquaient des problèmes ou des complications.
Que se passe-t-il après une échographie ?
La personne qui utilise l'appareil de scannage aura appliqué de la gelée sur votre peau au début de la procédure. Une fois le scanner terminé, cette gelée sera essuyée et vous pourrez vous habiller et partir.
L'opérateur vous parle parfois pendant l'examen, ce qui vous permet d'avoir immédiatement une idée de ce qui a été trouvé. Un rapport doit également être rédigé et envoyé à la personne qui a demandé l'examen - votre médecin généraliste ou l'équipe de spécialistes.
Ils pourront discuter de votre résultat lors de votre prochaine visite. Les résultats sont normalement disponibles dans un délai de deux semaines. Il est important que vous obteniez le résultat de l'équipe qui a demandé votre scanner. Ainsi, si le scanner a été demandé par un consultant hospitalier, vous devez contacter son secrétariat pour obtenir le résultat, et non votre médecin généraliste.
Sélection de patients pour L'imagerie

Tests et enquêtes
Balayage du gallium
A gallium scan uses a radioactive chemical to help create pictures which can show areas of possible infection, injury, inflammation or cancer. It does this by looking for areas where there is rapid cell division within the body. Note: the information below is a general guide only. The arrangements, and the way tests are performed, may vary between different hospitals. Always follow the instructions given by your doctor or local hospital.
par le Dr Mary Harding, MRCGP

Tests et enquêtes
Scintigraphie osseuse
A bone scan is a special type of nuclear medicine procedure that uses radionuclides to create a picture of the bones. Radionuclides are chemicals which emit radioactivity that can be detected by special scanners. A bone scan is different to a bone density scan (DEXA). See the DEXA Scan leaflet for more information on this bone density test. A DEXA scan is also known as a DXA scan. Note: the information below is a general guide only. The arrangements, and the way tests are performed, may vary between different hospitals. Always follow the instructions given by your doctor or local hospital.
par le Dr Doug McKechnie, MRCGP
Autres lectures et références
- Dietrich CF, Mathis G, Cui XW, et al.Ultrasound of the pleurae and lungs. Ultrasound Med Biol. 2015 Feb;41(2):351-65. doi : 10.1016/j.ultrasmedbio.2014.10.002.
- Lignes directrices pour la pratique professionnelle de l'échographieSociété et collège des radiographes et société britannique d'échographie médicale (SCoR/BMAS), 2019
- Ulrich CC, Dewald OÉvaluation échographique de la grossesse.
Poursuivre la lecture ci-dessous
Historique de l'article
Les informations contenues dans cette page sont rédigées et évaluées par des cliniciens qualifiés.
Date de la prochaine révision : 17 septembre 2028
19 Sept 2023 | Dernière version

Demandez, partagez, connectez-vous.
Parcourez les discussions, posez des questions et partagez vos expériences sur des centaines de sujets liés à la santé.

Vous ne vous sentez pas bien ?
Évaluez gratuitement vos symptômes en ligne
Sign up to the Patient newsletter
Your weekly dose of clear, trustworthy health advice - written to help you feel informed, confident and in control.
By subscribing you accept our Privacy Policy. You can unsubscribe at any time. We never sell your data.