Spondylarthrite ankylosante
Révision par le Dr Doug McKechnie, MRCGPDernière mise à jour par le Dr Philippa Vincent, MRCGPDernière mise à jour le 14 mars 2024
Répond aux besoins du patient lignes directrices éditoriales
- TéléchargerTélécharger
 - Partager
 - Langue
 - Discussion
 
Professionnels de la santé
Les articles de référence professionnelle sont destinés aux professionnels de la santé. Ils sont rédigés par des médecins britanniques et s'appuient sur les résultats de la recherche et sur les lignes directrices britanniques et européennes. L'article sur la spondylarthrite ankylosante ou l'un de nos autres articles sur la santé vous sera peut-être plus utile.
Dans cet article :
Poursuivre la lecture ci-dessous
Qu'est-ce que la spondylarthrite ankylosante ?
Synonymes : spondylarthrite rhumatoïde, maladie de Marie-Strümpell, maladie de von Bechterew
La spondylarthrite ankylosante (SA) est une spondylarthropathie chronique séronégative qui touche principalement le squelette axial (c'est-à-dire la sacroiliite et la spondylarthrite). L'étiologie est inconnue mais implique l'interaction de facteurs génétiques et environnementaux. Le diagnostic est posé en combinant les critères cliniques de douleurs dorsales inflammatoires et d'enthésite (inflammation au site d'insertion osseuse des ligaments et des tendons) ou d'arthrite avec les résultats radiologiques.
On pense que la spondylarthrite ankylosante est déclenchée par un (ou plusieurs) facteur(s) environnemental(aux) chez les personnes génétiquement prédisposées.1
La spondyloarthrite axiale comprend la spondylarthrite ankylosante (spondyloarthrite axiale radiographique) et la spondyloarthrite axiale non radiographique. Voir également l'article séparé sur la spondyloarthrite axiale pour plus de détails, y compris un résumé de la directive clinique actuelle du National Institute for Health and Care Excellence (NICE).2
Quelle est la fréquence de la spondylarthrite ankylosante ? (Epidémiologie)13
La prévalence de la SA est estimée entre 0,05% et 0,23%.
Les estimations de la prévalence varient d'un pays à l'autre, avec une prévalence moyenne pour 10 000 habitants de 31,9 en Amérique du Nord, 23,8 en Europe, 16,7 en Asie, 10,2 en Amérique latine et 7,4 en Afrique.
Environ deux fois plus d'hommes que de femmes sont atteints de SA.
La spondylarthrite axiale non radiographique touche autant de femmes que d'hommes.
La SA apparaît le plus souvent entre 20 et 30 ans, 90 à 95 % des personnes étant âgées de moins de 45 ans au moment de l'apparition de la maladie.
80 % des personnes développent les premiers symptômes avant l'âge de 30 ans et moins de 5 % sont diagnostiquées après l'âge de 45 ans.
Une héritabilité de plus de 90 % a été estimée pour la spondylarthrite axiale. Le facteur de risque génétique le plus important est l'antigène leucocytaire humain B27 (HLA-B27). La prévalence du HLA-B27 reflète généralement la prévalence de la spondyloarthrite axiale au sein d'une population. Cependant, la spondyloarthrite axiale peut survenir chez des personnes sans HLA-B27.
Poursuivre la lecture ci-dessous
Symptômes de la spondylarthrite ankylosante (présentation)
Les symptômes peuvent être discrets dans les premiers stades de la maladie ou dans les stades légers, avec une apparition insidieuse sur plusieurs mois ou années.
La SA se manifeste généralement avant l'âge de 30 ans.
La plupart des patients présentent une maladie chronique légère ou des poussées intermittentes avec des périodes de rémission.
Les caractéristiques systémiques sont courantes. La fièvre et la perte de poids peuvent survenir pendant les périodes de maladie active. La fatigue est également fréquente.
La raideur matinale est caractéristique.
Douleurs dorsales inflammatoires:
S'améliore souvent avec une activité physique modérée et n'est pas soulagée par le repos.
Contrairement au mal de dos mécanique, les patients ressentent souvent des raideurs et des douleurs qui les réveillent au petit matin.
La maladie rachidienne commence dans les articulations sacro-iliaques (région lombo-sacrée bilatérale) et peut être ressentie comme une douleur fessière diffuse et non spécifique.
L'examen révèle souvent une sensibilité des articulations sacro-iliaques ou une limitation de l'amplitude des mouvements de la colonne vertébrale.
Aux stades avancés, les patients présentent une perte de la lordose lombaire, une atrophie des fesses et une cyphose thoracique exagérée avec un cou voûté vers l'avant, parfois appelée "posture du point d'interrogation".
enthésite périphérique:
Se produit chez environ un tiers des patients.
Sites courants : derrière le talon (tendinite d'Achille), le talon (fasciite plantaire) et la tubérosité tibiale.
Les lésions ont tendance à être douloureuses, surtout le matin. Un gonflement de l'insertion du tendon ou du ligament peut être associé.
Arthrite périphérique:
Se produit également chez environ un tiers des patients.
L'atteinte articulaire est généralement asymétrique et concerne les hanches, la ceinture scapulaire (articulations gléno-humérales, acromio-claviculaires et sternoclaviculaires), les articulations de la paroi thoracique (articulations costo-vertébrales, jonctions costo-sternales) et la symphyse pubienne.
Les autres articulations périphériques sont moins souvent et moins sévèrement touchées, généralement sous forme d'oligoarthrite asymétrique.
Chez les enfants, la SA tend à se manifester par de l'arthrite avant l'apparition d'une maladie de la colonne vertébrale.
Les articulations temporo-mandibulaires sont parfois touchées.
Examen
Mesurer l'expansion thoracique, la flexion lombaire latérale et la flexion lombaire avant.
Test de Schober - voir l'article séparé Examen de la colonne vertébrale, qui traite de l'examen du dos thoraco-lombaire.
Palper et solliciter les articulations sacro-iliaques.
Examiner les articulations périphériques à la recherche d'une synovite ou d'une enthésite.
Il faut toujours rechercher les manifestations extra-articulaires de la SA, car elles concernent jusqu'à 40 % des patients.
Manifestations extra-articulaires1 4
Les manifestations extra-articulaires sont fréquentes. Une étude systématique a mis en évidence une prévalence groupée de :
Uvéite dans 25,8 % des cas. Elle survient surtout chez les hommes et les personnes HLA-B27 positives.
Psoriasis de 9,3 %.
Les maladies inflammatoires de l'intestin(maladie de Crohn ou colite ulcéreuse) représentent 6,8 %.
Les autres manifestations extra-articulaires comprennent
Les complications cardiaques comprennent
Régurgitation aortique, régurgitation mitrale et maladie cardiaque valvulaire non aortique.
Des arythmies peuvent également être présentes (par exemple, extrasystoles ventriculaires et supraventriculaires).
Risque accru d'infarctus du myocarde (et d'accident vasculaire cérébral).5 Il est donc important de gérer les facteurs de risque cardiovasculaire modifiables lorsqu'ils sont présents (par exemple, le tabagisme, l'augmentation de l'indice de masse corporelle (IMC), le cholestérol, la sédentarité, les comorbidités).
Atteinte pulmonaire telle que la maladie pulmonaire restrictive et la fibrose apicale. La dyspnée peut résulter de l'atteinte costo-vertébrale qui diminue la capacité vitale.
Atteinte neurologique due à une fracture ou à une dislocation vertébrale, ou syndrome de la cauda equina (troubles sensoriels dans les membres inférieurs et le périnée).
Atteinte rénale : l'amylose est une complication très rare chez les patients atteints d'une maladie sévère, active et de longue durée, et peut entraîner un dysfonctionnement rénal avec protéinurie et insuffisance rénale ou maladie rénale chronique. La néphropathie à immunoglobuline A (IgA ) est une autre association.
Poursuivre la lecture ci-dessous
Orientation en cas de suspicion de spondylarthrite axiale
Le NICE recommande d'orienter les patients si2
La lombalgie a débuté avant l'âge de 45 ans et dure depuis plus de trois mois : adressez la personne à un rhumatologue pour qu'il évalue la spondylarthrite si au moins quatre des critères supplémentaires suivants sont également présents :
La lombalgie a débuté avant l'âge de 35 ans (cela augmente encore la probabilité que la lombalgie soit due à la spondylarthrite par rapport à une lombalgie ayant débuté entre 35 et 44 ans).
Réveil au cours de la seconde moitié de la nuit en raison de symptômes.
Douleur au niveau des fesses.
Amélioration avec le mouvement.
Amélioration dans les 48 heures suivant la prise d'anti-inflammatoires non stéroïdiens (AINS).
Un parent au premier degré est atteint de spondylarthrite.
Il y a de l'arthrite actuelle ou passée.
Il existe une enthésite actuelle ou passée.
Il y a un psoriasis actuel ou passé.
Si exactement trois des critères supplémentaires sont présents, effectuer un test HLA-B27. Si le test est positif, adressez la personne à un rhumatologue pour qu'il évalue la spondylarthrite.
Si la personne ne répond pas à ces critères mais que la suspicion clinique de spondyloarthrite axiale persiste, conseillez-lui de demander une nouvelle évaluation si de nouveaux signes, symptômes ou facteurs de risque apparaissent. Cela peut être particulièrement indiqué si la personne souffre ou a souffert d'une maladie inflammatoire de l'intestin (maladie de Crohn ou colite ulcéreuse), de psoriasis ou d'uvéite.
Les personnes suspectées d'arthrite inflammatoire d'apparition récente doivent être orientées d'urgence vers un rhumatologue pour une évaluation de la spondylarthrite, sauf si l'on suspecte une polyarthrite rhumatoïde, une goutte ou une arthrite aiguë à pyrophosphate de calcium ("pseudogoutte"). En cas de suspicion de polyarthrite rhumatoïde, voir l'orientation vers un traitement spécialisé dans la ligne directrice du NICE sur la polyarthrite rhumatoïde chez l'adulte.
Orienter les personnes atteintes de dactylite vers un rhumatologue pour qu'il évalue la spondylarthrite.
Adresser les personnes souffrant d'enthésite sans cause mécanique apparente à un rhumatologue pour qu'il évalue la spondylarthrite :
Elle est persistante.
Il se trouve dans plusieurs sites.
L'un des éléments suivants est également présent :
Douleur dorsale sans cause mécanique apparente.
uvéite actuelle ou passée. Les personnes présentant des symptômes d'uvéite antérieure aiguë (par exemple, douleur oculaire, rougeur oculaire, sensibilité à la lumière ou vision floue) doivent être orientées vers un examen ophtalmologique immédiat (le jour même).
Psoriasis actuel ou passé.
Infection gastro-intestinale ou génito-urinaire.
Maladie inflammatoire de l'intestin.
Un parent au premier degré est atteint de spondylarthrite ou de psoriasis.
Diagnostic1
Critères modifiés de New York pour le diagnostic de la spondylarthrite ankylosante :
Critères cliniques :
Douleur lombaire ; présente depuis plus de trois mois ; améliorée par l'exercice mais non soulagée par le repos.
Limitation des mouvements de la colonne lombaire dans les plans sagittal et frontal.
Limitation de l'expansion thoracique par rapport aux valeurs normales pour l'âge et le sexe.
Critère radiologique : sacro-iliite à la radiographie.
Diagnostiquer : SA certaine si le critère radiologique est présent et au moins un critère clinique. SA probable si trois critères cliniques sont présents seuls, ou si le critère radiologique est présent mais qu'aucun critère clinique n'est présent.
Maladies associées
La SA peut se superposer à d'autres spondylarthropathies, par exemple l'arthrite psoriasique, l'arthrite réactive ou l'arthropathie entéropathique.
Diagnostic différentiel1
Affections inflammatoires - par exemple, polyarthrite rhumatoïde, arthrite psoriasique, arthrite réactive.
Affections dégénératives - par exemple, arthrose, discopathie dégénérative, spondylose, changements dégénératifs dans les articulations intervertébrales (facettes).
Infection - par exemple, la tuberculose.
Tumeurs, primaires ou secondaires.
Déformation congénitale de la colonne vertébrale.
Fractures.
Sacroiliite infectieuse.
Sténose spinale.
Douleur référée.
Diagnostic de la spondylarthrite ankylosante (investigations)
Analyses sanguines
Aucun test de laboratoire n'est spécifique et ils sont souvent plus utiles pour exclure d'autres diagnostics que pour confirmer la SA.
Cependant, 50 à 70 % des personnes atteintes de SA présentent une élévation de la CRP et de l'ESR.3
Le patient doit être orienté vers un rhumatologue s'il présente au moins 4 critères de diagnostic ou s'il présente 3 critères de diagnostic et est HLA-B27 positif.1
Imagerie
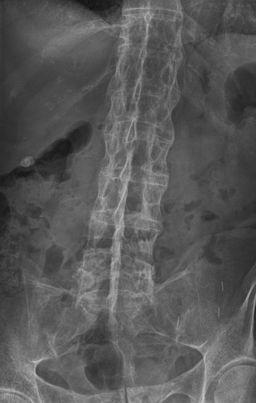
Les radiographies sont la modalité d'imagerie la plus utile dans le cas d'une maladie établie, bien qu'elles puissent être normales au début de la maladie.
Recherchez une sacro-iliite ou une enthésite (en particulier de l'anneau fibreux). La sacro-iliite se manifeste d'abord par un flou dans la partie inférieure de l'articulation, puis par des érosions osseuses ou une sclérose et un élargissement, voire une fusion de l'articulation.
Les corps vertébraux peuvent devenir "carrés". À un stade plus avancé, des ponts osseux (syndesmophytes) se forment entre les vertèbres adjacentes, il y a ossification des ligaments vertébraux et, à un stade avancé de la maladie, il peut y avoir fusion complète de la colonne vertébrale (colonne de bambou).
L'ostéopénie vertébrale est fréquente.
L'IRM peut être utile pour identifier une sacro-iliite débutante. L'IRM des articulations sacro-iliaques est plus sensible que la radiographie simple ou la tomodensitométrie pour mettre en évidence la sacro-iléite. Elle joue un rôle croissant dans le diagnostic, le pronostic et la sélection des patients pour un traitement biologique, mais n'est pas recommandée pour les soins primaires.
IRM/TDM - utiles pour diagnostiquer une fracture vertébrale chez les patients souffrant d'une maladie vertébrale à un stade avancé.
L'absorptiométrie biénergétique à rayons X (DXA) est utilisée pour évaluer l'ostéoporose, mais elle peut sous-estimer le risque de fracture dans la SA, en raison de la néoformation osseuse dans la colonne vertébrale.
L'échographie musculo-squelettique peut aider à diagnostiquer l'enthésite.6
Dos en bambou

Par Stevenfruitsmaak, via Wikimedia Commons
Prise en charge de la spondylarthrite ankylosante1 7
Général
La spondylarthrite ankylosante est une maladie chronique pour laquelle il n'existe actuellement aucun traitement. L'impact de la SA varie considérablement d'un individu à l'autre et l'objectif du traitement est essentiellement symptomatique, avec un bon contrôle des symptômes, le maintien de la fonction (facilité par un diagnostic précoce) et la prise en charge des complications.
Adresser tous les nouveaux cas ou les cas suspects de SA à un rhumatologue. Il s'agit de confirmer le diagnostic, de revoir le traitement en cours, d'accéder à des services de physiothérapie et d'ergothérapie spécialisés et d'organiser le suivi (souvent dans le cadre d'un accord de soins partagés avec les soins primaires).
Le traitement des manifestations extra-articulaires peut nécessiter l'intervention d'autres équipes spécialisées.
Physiothérapie et réadaptation
La physiothérapie, y compris un programme d'exercices et un entraînement postural, est importante pour maintenir la fonction et, dans certains cas graves, une période de rééducation intensive en milieu hospitalier peut être justifiée.
Une étude Cochrane a montré qu'un programme d'exercices individuels à domicile ou supervisés est préférable à l'absence d'intervention, que la physiothérapie de groupe supervisée est meilleure que les exercices à domicile, et que la thérapie combinée spa-exercice en milieu hospitalier suivie d'une physiothérapie de groupe est meilleure que la physiothérapie de groupe seule.8
Les exercices d'extension de la colonne vertébrale et de respiration profonde contribuent à maintenir la mobilité de la colonne vertébrale, à encourager une posture droite et à favoriser l'expansion de la poitrine.
Le maintien d'une posture droite pendant les activités quotidiennes et le fait de dormir sur un matelas ferme avec un oreiller fin tendent également à réduire la tendance à la cyphose thoracique.
L'hydrothérapie et la natation sont d'excellentes activités pour maintenir la mobilité et la forme physique.
Anti-inflammatoires9
Les anti-inflammatoires non stéroïdiens (AINS) améliorent les symptômes de la maladie.10 Commencer le traitement par un AINS sauf contre-indication et, chez les personnes présentant un risque accru d'effets secondaires gastro-intestinaux, envisager l'association d'un AINS et d'un inhibiteur de la pompe à protons (IPP) ou d'un inhibiteur de la cyclo-oxygénase-2 (COX-2) et d'un IPP. En cas de contre-indication ou de mauvaise tolérance, un analgésique standard tel que le paracétamol +/- codéine doit être substitué.1
Lorsque les AINS ne permettent pas de contrôler suffisamment les symptômes :
Envisagez une préparation à libération lente si la raideur matinale est un problème particulier.
Ajouter un soulagement supplémentaire de la douleur (par exemple, des analgésiques simples, de l'amitriptyline) en cas de mauvais sommeil dû à la douleur.
Les injections locales de corticostéroïdes sont utiles en cas de sacroiliite symptomatique, d'enthésite périphérique et d'arthrite.
Les corticostéroïdes oraux ne sont pas recommandés dans la spondylarthrite ankylosante.3
Adresser le patient à un rhumatologue pour qu'il envisage un traitement complémentaire.
Modulateurs de cytokines11
Les inhibiteurs du TNF-alpha sont efficaces dans la SA. Ils ne doivent être utilisés que sous le contrôle d'un rhumatologue.
Conseils de NICE :12
L'adalimumab, le certolizumab pegol, l'étanercept, le golimumab et l'infliximab sont des options pour le traitement de la SA active sévère chez les adultes dont la maladie n'a pas répondu de manière adéquate aux anti-inflammatoires non stéroïdiens ou qui ne les tolèrent pas.
La réponse au traitement par l'adalimumab, le certolizumab pegol, l'étanercept, le golimumab ou l'infliximab doit être évaluée 12 semaines après le début du traitement. Le traitement ne doit être poursuivi que si la réponse est clairement démontrée.
Le traitement par un autre inhibiteur du facteur de nécrose tumorale (TNF) alpha est recommandé pour les personnes qui ne tolèrent pas ou dont la maladie n'a pas répondu au traitement par le premier inhibiteur du TNF-alpha, ou dont la maladie a cessé de répondre après une première réponse.
L'utilisation d'inhibiteurs du TNF-alpha est connue pour augmenter le risque d'infections graves.13
Le NICE recommande l'utilisation du sécukinumab, de l'ixekizumab et de l'upadacitinib comme options pour le traitement de la SA active chez les adultes dont la maladie a répondu de manière inadéquate au traitement conventionnel (AINS ou inhibiteurs du TNF-alpha). La réponse doit être évaluée après 16 semaines de traitement et n'être poursuivie qu'en cas de réponse clairement établie.14 15 16
Chirurgie17
La SA non traitée peut entraîner une déformation de la colonne vertébrale, plus de 30 % des patients atteints de SA souffrant d'une cyphose thoraco-lombaire. L'ostéotomie corrective et la stabilisation sont recommandées dans certaines conditions, telles qu'une cyphose sévère ou une arthrite de la hanche avancée.
Complications de la spondylarthrite ankylosante
Les complications de la spondylarthrite axiale sont les suivantes 1317
Ankylose ou fusion vertébrale résultant d'une nouvelle formation osseuse.
Fractures de la colonne vertébrale.
L'atteinte de la hanche, qui touche environ un tiers des personnes atteintes de SA et peut nécessiter une arthroplastie.
Effets indésirables du traitement - par exemple, AINS (gastrite, ulcères, effets rénaux), DMARD biologiques (infection, immunosuppression, tumeur maligne).
Troubles de l'humeur.
Diminution de la qualité de vie et de la productivité au travail en raison de la douleur, de la raideur, de la fatigue, de la réduction de la mobilité de la colonne vertébrale et de la fonction physique, ainsi que des problèmes de sommeil.
Pronostic1
L'évolution est variable, mais les dommages sont progressifs et irréversibles.
Le pronostic dépend également de la présence de manifestations extraspinales (par exemple, uvéite, psoriasis, maladie inflammatoire de l'intestin), de l'âge au moment du diagnostic et du choix du traitement.
Risque accru de fracture de la colonne vertébrale plus tard dans la vie. La colonne vertébrale est rendue plus fragile par la rigidité et plus faible par l'ostéoporose. Les fractures qui en résultent peuvent se produire avec une force minimale.
Autres lectures et références
- La spondylarthrite axiale (y compris la spondylarthrite ankylosante)NICE CKS, avril 2024 (accès au Royaume-Uni uniquement)
 - Spondyloarthrite chez les plus de 16 ans : diagnostic et prise en chargeNICE Guidance (Feb 2017)
 - Wenker KJ, Quint JMLa spondylarthrite ankylosante.
 - El Maghraoui AManifestations extra-articulaires de la spondylarthrite ankylosante : prévalence, caractéristiques et implications thérapeutiques. Eur J Intern Med. 2011 Dec;22(6):554-60. Epub 2011 Jul 13.
 - Mathieu S, Pereira B, Soubrier MLes événements cardiovasculaires dans la spondylarthrite ankylosante : An updated meta-analysis. Semin Arthritis Rheum. 2014 Oct 18. pii : S0049-0172(14)00248-0. doi: 10.1016/j.semarthrit.2014.10.007.
 - Hamdi W, Chelli-Bouaziz M, Ahmed MS, et alCorrélations entre les scores cliniques, radiographiques et échographiques pour l'enthésite dans la spondylarthrite ankylosante. Joint Bone Spine. 2011 May;78(3):270-4. Epub 2010 Oct 30.
 - van der Heijde D, Ramiro S, Landewe R, et alMise à jour 2016 des recommandations ASAS-EULAR pour la prise en charge de la spondylarthrite axiale. Ann Rheum Dis. 2017 Jun;76(6):978-991. doi : 10.1136/annrheumdis-2016-210770. Epub 2017 Jan 13.
 - Dagfinrud H, Kvien TK, Hagen KBLes interventions de physiothérapie pour la spondylarthrite ankylosante. Cochrane Database Syst Rev. 2008 Jan 23 ;(1):CD002822.
 - Sidiropoulos PI, Hatemi G, Song IH, et al.Evidence-based recommendations for the management of ankylosing spondylitis : systematic literature search of the 3E Initiative in Rheumatology involving a broad panel of experts and practising rheumatologists. Rheumatology (Oxford). 2008 Mar;47(3):355-61.
 - Kroon FP, van der Burg LR, Ramiro S, et alLes médicaments anti-inflammatoires non stéroïdiens pour la spondylarthrite axiale : A Cochrane Review. J Rheumatol. 2016 Mar;43(3):607-17. doi : 10.3899/jrheum.150721. Epub 2016 Feb 1.
 - Mise à jour sur la spondylarthrite ankylosante : pathogenèse et agents thérapeutiquesJournal des maladies rhumatismales
 - Inhibiteurs du TNF-alpha dans la spondylarthrite ankylosante et la spondyloarthrite axiale non radiographiqueNICE Technology Appraisal Guidance, février 2016
 - Minozzi S, Bonovas S, Lytras T, et alRisk of infections using anti-TNF agents in rheumatoid arthritis, psoriatic arthritis, and ankylosing spondylitis : a systematic review and meta-analysis. Expert Opin Drug Saf. 2016 Dec;15(sup1):11-34. doi : 10.1080/14740338.2016.1240783.
 - Secukinumab pour la spondylarthrite ankylosante active après un traitement par des anti-inflammatoires non stéroïdiens ou des inhibiteurs du TNF-alphaNICE Technology appraisal guidance, septembre 2016
 - Ixekizumab pour le traitement de la spondylarthrite axialeNICE Technology appraisal guidance, juillet 2021
 - Upadacitinib pour le traitement de la spondylarthrite ankylosante activeNICE Technology appraisal guidance, septembre 2022
 - Zhu W, He X, Cheng K, et al.La spondylarthrite ankylosante : étiologie, pathogénie et traitements. Bone Res. 2019 Aug 5;7:22. doi : 10.1038/s41413-019-0057-8. eCollection 2019.
 
Poursuivre la lecture ci-dessous
Historique de l'article
Les informations contenues dans cette page sont rédigées et évaluées par des cliniciens qualifiés.
Prochaine révision prévue : 13 mars 2028
14 Mar 2024 | Dernière version

Demandez, partagez, connectez-vous.
Parcourez les discussions, posez des questions et partagez vos expériences sur des centaines de sujets liés à la santé.

Vous ne vous sentez pas bien ?
Évaluez gratuitement vos symptômes en ligne